Clínica Dental del
Dr. Daniel Fernández
Periodoncista especializado en implantes dentales en Monterrey
Somos un centro de alta especialización dental que combina la excelencia de los tratamientos con un trato personal y cercano. Ofrecemos tratamientos integrales con el fin de brindar salud, función y estética a la sonrisa de nuestros pacientes prestando especial atención a aquellos que sufren de enfermedades sistémicas como la diabetes y la alta presión.
Servicios de Odontología Especializada en Monterrey
En la Clínica Dental del Dr. Daniel Fernández le ofrecemos una experiencia de atención integral. Nuestros servicios abarcan desde tratamientos para la salud de sus encías y la colocación de implantes dentales de calidad en Monterrey, hasta transformaciones estéticas completas, nuestro objetivo es brindarle un plan de tratamiento a su medida.
Periodoncia
La enfermedad periodontal afecta a las encías y al hueso que soporta sus dientes. Como su clínica de periodoncia especializada en Monterrey, nuestro primer objetivo es diagnosticar y tratar esta condición para detener su avance y devolverle la salud a su boca.
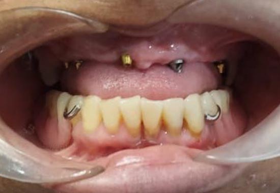
Implantes Dentales
Los implantes dentales son la mejor solución para reemplazar dientes perdidos de forma fija y segura. En nuestra clínica dental, nos aseguramos de que cada procedimiento de implantes dentales se realice con una planificación meticulosa para garantizar su éxito.
Especialistas en Diseño de Sonrisa
Un diseño de sonrisa armoniza la forma de sus dientes, el contorno de sus encías y sus rasgos faciales. Si usted desea una transformación estética, como especialistas en diseño de sonrisa, creamos planes personalizados para lograr el resultado que siempre ha deseado.
Odontología General
La odontología general se enfoca en el diagnóstico y tratamiento de las afecciones dentales más habituales. Generalmente, es el primer punto de contacto del paciente con nuestra clínica, donde realizamos una valoración inicial completa y, de ser necesario, lo referimos con el especialista indicado dentro de nuestro equipo.
Un Especialista Dedicado a su Sonrisa
El Dr. Daniel Fernández es Cirujano Dentista por la Universidad Autónoma de Nuevo León (UANL) y cuenta con doble especialidad: una en Periodoncia (Maestría, UANL) y otra en Implantología y Rehabilitación Bucal.
Su formación se complementa con un externship en implantes dentales por la Universidad de Stony Brook de Nueva York y su constante participación en congresos nacionales e internacionales. Además, se ha desempeñado como docente de posgrado en la UANL y está certificado por el Consejo Mexicano de Periodoncia (CMP) desde 2006.
- Cirujano Dentista (UANL): Cédula Profesional 3893574
- Maestría en Ciencias Odontológicas con Especialidad en Periodoncia (UANL): Cédula de Especialidad 7939552
- Especialidad en Implantología y Rehabilitación Bucal: Cédula de Especialidad 15026238
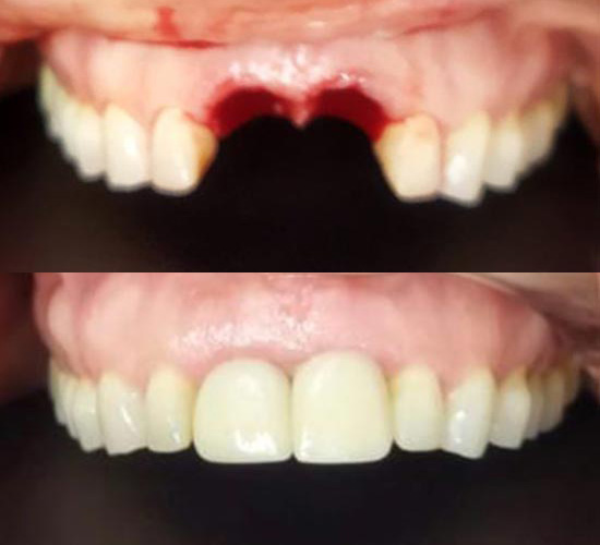
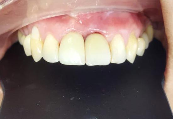
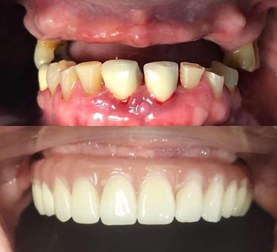
Evidencia de transformaciones reales
Descubra por qué nuestros pacientes vuelven a sonreír
Nos enorgullece compartir las experiencias de algunos de nuestros pacientes. Sus historias y resultados son nuestra mayor satisfacción y el reflejo de nuestro compromiso.


100% recomendado. Me lograron dar cita de inmediato y atenderme de manera eficiente y satisfactoria, definitivamente volveré siempre que este de visita en Monterrey.
Highly recommend this doctor, highly skilled, honest and i was able to get an appointment right away. Will definitely come back every time I am in Monterrey.
Great and friendly service.
Norma Valim
Buenos días!! Lo que yo voy a decir de mi experiencia con el Dr. Daniel, es nada más agradecimiento, por su profesionalismo, me atendió de unos implantes, y estoy súper satisfecha con su trabajo, Súper excelente doctor, el staff muy amable siempre!!
anahi arreaga
Me basé en las opiniones para decidir a dónde ir, y fue como tome la decisión de ir al consultorio del Dr. Daniel. Excelente trato junto con su equipo la Dra. Yazmin hacen que te sientas segura y en confianza. Aclaran todas tus dudas. Trabajan excelente
S. C.
Excelente servicio, el doctor fue honesto y rápido con mi evaluación y limpieza. También me ayudo rebajando un poco mis muelas para poder morder mejor y evitar el dolor que estaba sintiendo.
100% recomendado. Me lograron dar cita de inmediato y atenderme de manera eficiente y satisfactoria, definitivamente volveré siempre que este de visita en Monterrey.
Erendira Perez
Estoy muy contenta con el procedimiento de implantes, que me hicieron con el doctor Daniel Fernández Díaz de Leon, quedé muy satisfecha con el resultado y todo el personal muy amables y profesionales, viaje desde Texas y valió la pena.
Isela De Labra
Ampliamente recomendado por su excelencia en mis resultados dentales, dando seguridad a mi sonrisa y lo mejor totalmente sin dolor . Agradezco sus atenciones a ud. Y su asistente Dios lo bendiga grandemente Dr. Daniel Fernández Diaz de León . GRACIAS
perla garza rojas
Muy agradecida por el trato tan profesional y de una gran calidad humana; el resultado de un excelente trabajo, hecho con la paciencia necesaria para alcanzar los objetivos de salud y estética, me llevan a recomendar ampliamente al Dr Daniel y a su asistente. Equipo maravilloso, Dios los bendiga.
Detrás de cada una de estas transformaciones hay un diagnóstico preciso, una planificación detallada y el trabajo coordinado de nuestro equipo de especialistas.
Clínica Dental Dr. Daniel Fernández:
Nuestro Equipo y Filosofía
En la Clínica Dental del Dr. Daniel Fernández, somos un equipo multidisciplinario de odontólogos especialistas, unidos por el objetivo de combinar la más alta capacidad técnica con un trato personal y cercano. Nuestra práctica abarca todas las áreas de la especialización dental, incluyendo Periodoncia, Implantes, Estética, Endodoncia, Ortodoncia y Odontología General. Nos dedicamos a ofrecerle soluciones integrales para devolverle la salud, función y estética a su sonrisa.
Su confianza es nuestra prioridad. Por ello, le ofrecemos un trato personalizado, protocolos para la atención dental segura de pacientes con condiciones sistémicas como la diabetes, y presupuestos finales que se respetan sin cargos extras. Para garantizar resultados de excelencia, utilizamos exclusivamente materiales de la más alta calidad y marcas líderes como Straumann, aprobadas por la FDA y COFEPRIS. Nos encontrará en una conveniente ubicación junto al Hospital San José.






Agende su Cita de Valoración
La atención detallada que usted merece comienza desde el primer contacto. Llámenos o envíenos un mensaje para que nuestro equipo le ayude a agendar una cita de valoración con nuestros especialistas.















