Dr. Daniel Fernandez | Periodoncista Monterrey

Recontorneo Estético de la Encía Monterrey

La sonrisa es una de las expresiones faciales más importantes que diferencia al ser humano con el resto de los animales. La utiliza como parte del lenguaje y para expresar un sinfín de emociones. Por ello es tan importante la estética de la sonrisa.

¡No espere más! Contáctenos ahora para reservar su cita

Corrección de la sonrisa gingival: Procedimientos y técnicas

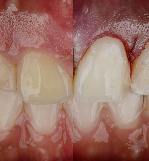
A pesar de que los dientes parezcan cuadrados y cortos, pueden tener una longitud adecuada y una forma más triangular, pero estar cubiertos por mucha encía y hueso. Condición que es usualmente conocida como gummy smile o sonrisa gingival, ya que es más notoria cuando la persona sonríe. La causa de esta condición es una predisposición genética a la alteración de la erupción de los dientes, aunque también la ingesta de medicamentos como ciertos inmunodepresores y los tratamientos de ortodoncia pueden ocasionar el crecimiento de la encía.

Sin embargo, la sonrisa gingival puede corregirse mediante un procedimiento llamado recontorneo estético gingival o de la encía, el cual puede realizarse por medio de una o la combinación de dos técnicas: el remodelado estético óseo y la gingivectomía.

Mediante la técnica de remodelado estético óseo se retira el exceso de encía y remodela la altura y el volumen del hueso para exponer más los dientes. Se realiza habitualmente en varios dientes para nivelar el margen de los mismos y crear una sonrisa armoniosa. Generalmente los resultados de la intervención son inmediatos y con mínimas molestias postoperatorias.

Gingivectomía

Se realiza una gingivectomía cuando se retira el exceso de encía sin necesidad de remodelar el hueso. Los resultados, al igual que el recontorneo estético gingival, son inmediatos y sin complicaciones, además de mejorar la estética de la sonrisa, mostrando el tamaño normal de los dientes al sonreír.

Solicite una cita para una valoración detallada.

Preguntas frecuentes sobre el recontorneo estético gingival

Al hablar de Odontología Estética, la mayoría de las personas piensan que se refiere únicamente a la forma, el color y la uniformidad de los dientes, pero se olvidan de que las encías juegan un papel fundamental en la estética de la sonrisa.

Unas encías demasiado grandes, largas o desiguales pueden hacer que los dientes más bonitos parezcan cortos, anchos y feos. Corregir estos defectos en las encías puede impulsar la belleza natural de la sonrisa y mejorar el aspecto general del paciente.

La duración aproximada de la cirugía es de 1 hora o 1 hora y media y se realiza bajo anestesia local y si el paciente lo desea también puede realizarse bajo sedación consiente para mayor comodidad.

El recontorneo estético gingival es una cirugía rápida, sencilla y predecible que ofrece resultados inmediatos por lo que las complicaciones son muy poco frecuentes.

Además, no existen importantes contraindicaciones para el procedimiento. Su única desventaja es que el paciente tendrá las encías amoratadas por una semana después del procedimiento.

El recontorneo estético gingival tiene uno de los mejores posoperatorios de todas las cirugías orales que se realizan ya que no es doloroso ni incómodo para el paciente.

Al día siguiente de la intervención el paciente puede cepillarse los dientes con un cepillo quirúrgico, el cual le ayudará a deshacer el coágulo de sangre que tiende a formarse en el margen gingival.

A pesar de que la operación produce hematomas e inflamación de las encías, estas molestias empiezan a desaparecer en el transcurso de una semana. Además, durante este lapso se pueden prescribir analgésicos.

Al cabo de las 2 semanas después del procedimiento, las encías están totalmente recuperadas.

Si al realizar la cirugía el periodoncista realiza un buen remodelado óseo, es muy poco probable que vuelva a crecer la encía. Sin embargo, ciertos medicamentos, procesos inflamatorios y la mal posición dentaria pueden ocasionar el crecimiento de la encía después de la cirugía.

Si. La ortodoncia no impide la realización del recontorneo estético.

De hecho, es favorable para el ortodoncista ya que le permite apreciar la anatomía completa del diente, lo que le permitirá finalizar el tratamiento de ortodoncia de manera más estética.

Incluso, el recontorneo estético puede ayudar a acelerar el movimiento de los dientes gracias al remodelado óseo y acortar los tiempos de tratamiento.

Agende una cita de valoración

Si la proporción de sus encías afecta la armonía de su sonrisa, el recontorneo estético es una solución segura.