Uso de la Matriz Dérmica Acelular en el injerto de encía

La Matriz Dérmica Acelular (MDA) ayuda a la regeneración de tejido blando y es ampliamente aceptada y utilizada en la Odontología para realizar injertos de encía y regeneración ósea. El injerto de encía está indicado cuando: La causa más común de un injerto de encía es debido a una recesión gingival. ¿Qué es una recesión gingival? Se le […]
Turismo dental en Monterrey

México ocupa el primer lugar mundial en turismo dental, con un flujo de tres millones de pacientes provenientes de otros países al año, de acuerdo con datos del INEGI. Los principales polos turísticos dentales de México se ubican en la franja fronteriza con Estados Unido; aunque uno de los principales centros turísticos odontológicos es Monterrey actualmente. El ahorro en servicios dentales […]
Tres aspectos a tomar en cuenta para el cuidado de los dientes

La salud bucodental depende de hábitos sencillos de higiene, como cepillarse los dientes y usar hilo dental. Sin embargo, hay otros aspectos que hay que tomar en cuenta para garantizar una salud bucodental óptima. La dieta La dieta juega un papel fundamental en la salud bucal. Cepillarse bien los dientes tres veces al día no podrá revertir los efectos de […]
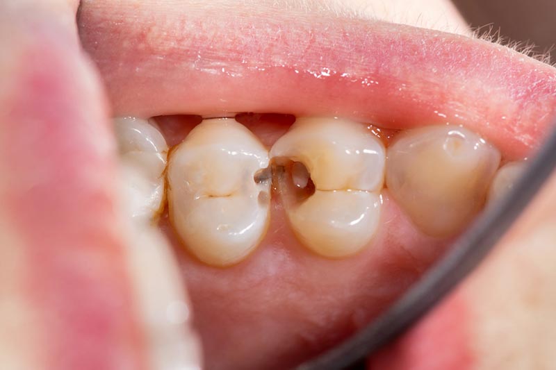
Todo sobre la caries

La caries dental es la destrucción del esmalte dental, la capa dura externa de los dientes. La placa, una película pegajosa de bacterias, se forma constantemente en los dientes; pero cuando se comen o beben alimentos que contienen azúcares, las bacterias de la placa producen ácidos que atacan al esmalte dental. La gran adherencia de […]
Todo lo que necesitas saber del “dolor de muelas”

No son pocos los que han sufrido el famoso “dolor de muelas”. Se trata de un dolor constante cuya intensidad va aumentando. Las bebidas frías, los alimentos calientes o la masticación pueden aumentar el dolor. Normalmente, el dolor se produce cuando el nervio ya está afectado y se controla con medicación, ya sea antibiótica o antiinflamatoria. El tratamiento […]
Sensibilidad dental: qué la causa y cómo se trata

La sensibilidad dental se define como un dolor dental agudo causado por la exposición de la dentina que aparece tras el contacto con estímulos externos aparentemente inofensivos como el calor o el frío y alimentos ácidos. Es una dolencia muy común entre la población general. Afecta a 7 de cada 10 personas adultas y suele aparecer entre los […]
Recomendaciones para superar el miedo al dentista

No son pocas las personas que llevan años sin asistir a una consulta con el dentista. El solo hecho de pensarlo les genera ansiedad; las causas pueden responder a varias motivaciones: el miedo a que el tratamiento duela, el pánico a las agujas o el rechazo a los sonidos y olores de la clínica dental […]
¿Qué es la caries radicular?

Las caries son uno de los problemas de salud oral más frecuentes entre la población en general. Las cavidades características de las caries son consecuencia de la desmineralización del diente, producto de los ácidos que libera la actividad de la placa bacteriana. Lo más normal es que estas “muelas picadas”, resultado de la infección de […]
¿Qué es el bruxismo y cómo afecta a los dientes?

Se conoce como bruxismo a la contractura de los músculos de cierre de la mandíbula, existan dientes o no. Cuando hay dientes, el bruxismo incluye el rechinamiento o apretamiento de los dientes entre sí; y puede ocurrir cuando la persona se encuentra despierta o dormida. Muy seguramente todos hemos apretado los dientes alguna vez antes de algún evento estresante, o haber […]